当前位置: 首页 > 生化试剂 > 真核细胞DNA转染试剂盒
DeofectEU真核细胞DNA转染试剂
产品简介
DeofectEU Transfection Reagent是我们最新推出的生物可降解DNA转染试剂,适用于多种真核细胞的DNA转染。我们使用的高分子材料形成的聚合物具有均一的大小和确定的形状,使转染结果具有高度的重复性。DeofectEU Transfection Reagent携带DNA进入细胞后,可迅速释放DNA,并被快速降解,极大地降低了对细胞的毒性。试剂-DNA复合物可以直接加入培养基中,血清和抗生素不影响其转染效果,转染前后都不需要更换培养基,操作十分简便。
产品特点
1、采用生物可降解材料,细胞毒性低;
2、培养基可含或不含血清,可以用PBS或无血清培养基稀释质粒;
3、结果重复性好,转染过程不需换液;
4、适用范围广,可用于多种真核细胞。
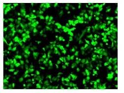
图. 使用本产品转染pEGFP-C2质粒到Hela细胞后,绿色荧光蛋白的表达情况






Global - English
China - 中文
Brasil - Português
France - Français
Germany - Deutsch
Hungary - Magyarország
Italy - Italiano
Japan -日本语
Russia - Россия
United States - English